El cerebro humano, un universo de complejidad, sigue revelando sus secretos gracias a la inteligencia artificial. Recientemente, investigadores del MIT, en colaboración con Harvard y el Massachusetts General Hospital, han dado un paso de gigante con el desarrollo de la BrainStem Bundle Tool (BSBT). Este software de IA es capaz de segmentar automáticamente ocho haces distintos de materia blanca en el tronco encefálico, utilizando resonancia magnética estándar. Un avance que, para las empresas del sector salud, abre un abanico de oportunidades en diagnóstico, seguimiento y desarrollo de nuevas soluciones.
Impacto de la IA del MIT en el diagnóstico neurológico
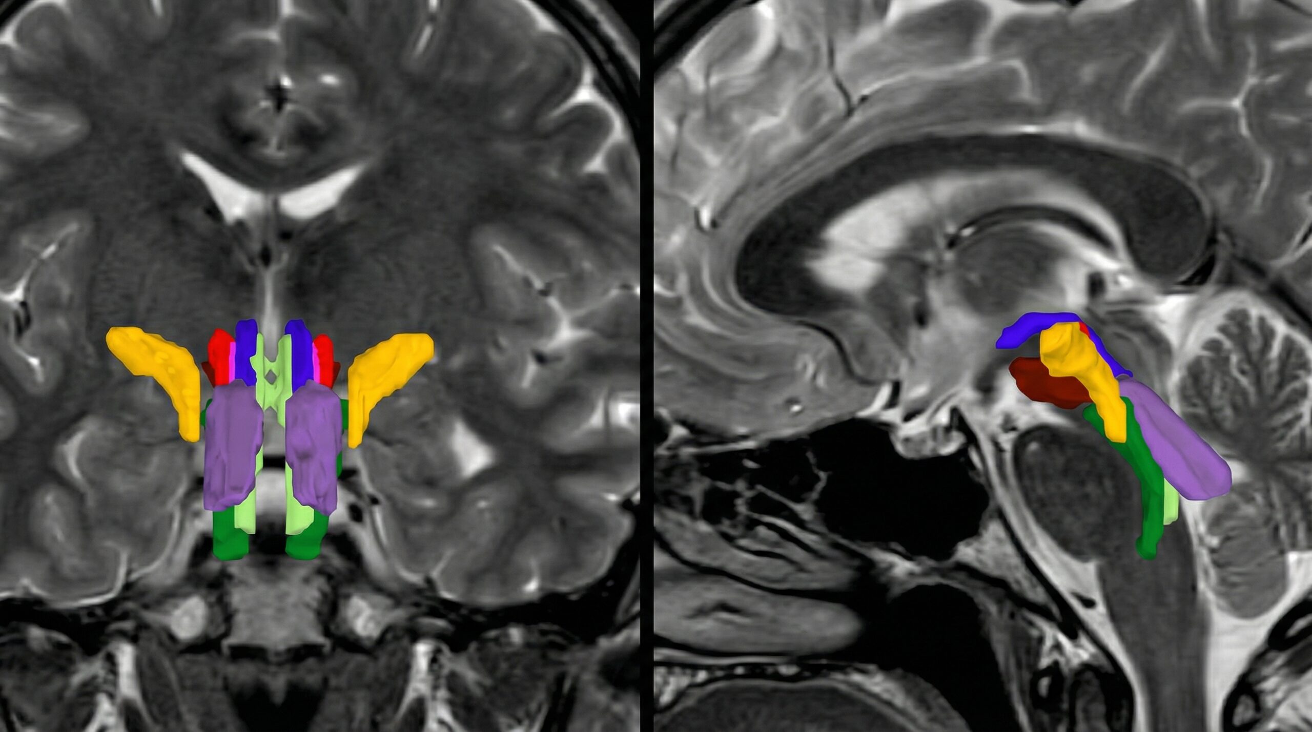
El tronco encefálico, una estructura diminuta pero vital, controla funciones básicas como la conciencia, la respiración y el ritmo cardíaco. Su estudio ha sido históricamente un reto debido a las limitaciones de las técnicas de imagen. Sin embargo, la BSBT, impulsada por IA, supera estas barreras. Analiza secuencias de resonancia magnética por difusión (dMRI) y, mediante una red neuronal convolucional (CNN), distingue estos haces cruciales, como el lemnisco medial o el tracto espinotalámico anterior.
Esta tecnología, más allá de la mera segmentación, genera un ‘mapa probabilístico de fibras’, rastreando axones desde regiones superiores del cerebro hasta el tronco encefálico. ¿Qué significa esto para tu negocio? Mayor precisión en la identificación de anomalías y una comprensión más profunda de enfermedades neurológicas. Si tu empresa desarrolla software de análisis de imagen médica o trabaja en el desarrollo de dispositivos de diagnóstico, este avance del MIT te interesa directamente.
Aplicaciones clínicas y oportunidades de negocio
Las pruebas de la BSBT no son solo prometedoras; son contundentes y han sido publicadas en PNAS (10 de febrero de 2026). Demostraron una consistencia y reproducibilidad excepcionales, superando a otros clasificadores en la discriminación entre pacientes y controles. Esto se traduce en una capacidad para medir con precisión el volumen de los haces y la anisotropía fraccional (FA), un indicador clave de la integridad estructural. Imagina las implicaciones para el diagnóstico temprano de enfermedades como:
- **Parkinson:** Detección de degeneración en haces motores.
- **Esclerosis Múltiple:** Identificación de daño desmielinizante.
- **Lesión Cerebral Traumática (TBI):** Evaluación objetiva del alcance del daño.
- **Alzheimer:** Posibilidad de detectar cambios tempranos.
Además, la capacidad de la BSBT para rastrear la curación de haces, como se observó en un paciente comatoso durante siete meses de recuperación, abre la puerta a un seguimiento longitudinal más eficaz y personalizado. Las empresas de telemedicina o aquellas que gestionan historiales clínicos electrónicos podrían integrar esta información para ofrecer mejores pronósticos y planes de tratamiento.
Análisis Blixel: La IA del MIT como ventaja competitiva para tu empresa
Este desarrollo del MIT no es solo una noticia científica; es una señal clara de por dónde van los tiros en el sector salud. Para cualquier empresa tecnológica, de consultoría o de desarrollo de software médico, la BSBT es un ejemplo de cómo la IA puede transformar el diagnóstico y el tratamiento. La clave aquí es la ‘aplicabilidad’. Al ser de código abierto, esta herramienta elimina barreras de entrada y permite que empresas más pequeñas puedan innovar y desarrollar sus propias soluciones basadas en esta tecnología.
¿Qué puedes hacer tú? Explora cómo integrar herramientas de IA similares en tus productos o servicios. Capacita a tu equipo en el uso y desarrollo de modelos de redes neuronales para análisis de imagen. Las oportunidades no se limitan a los grandes jugadores; la accesibilidad de este tipo de herramientas democratiza la innovación. Si tu modelo de negocio implica el manejo y análisis de datos clínicos masivos, la capacidad de procesar esta información con una precisión sin precedentes te dará una ventaja competitiva brutal.
Fuente: MIT News


Deja una respuesta