Hackers estatales destilación Gemini ciberataques
Hackers estatales destilación Gemini para automatizar ciberataques avanzados, según Google. Clonan modelos IA…
Chatbots IA salud mental Nigeria arriesgan privacidad
Chatbots IA salud mental Nigeria emergen como solución accesible ante escasez de terapeutas,…
Guía práctica: Cómo hacer que la IA hable de ti
Descubre cómo hacer que la IA hable de ti o de tu marca….
¿Quién controlará la capa de IA empresarial? Clave en 2026
¿Quién controlará la capa de IA empresarial en tu organización? La batalla por…
OpenClaw agente IA local riesgos seguridad
OpenClaw agente IA local plantea graves riesgos de seguridad al ejecutarse sin aislamiento,…
Economía brutal IA orbital de Musk: ¿Realidad o ciencia ficción?
La economía brutal de la IA orbital de Musk enfrenta desafíos colosales. Analizamos…
Salidas masivas xAI: cofundadores abandonan
Las salidas masivas xAI golpean a la empresa de Elon Musk: seis cofundadores…
CBP firma acuerdo con Clearview AI
CBP firma acuerdo con Clearview AI para usar reconocimiento facial en vigilancia fronteriza….
Monaco IA para Ventas: El Desafío de Sam Blond a Salesforce
Sam Blond lanza Monaco IA para Ventas, una plataforma para startups que combina…
Manejo de throttling en Amazon Bedrock: Guía para PYMES
Guía práctica para manejar throttling en Amazon Bedrock. Evita errores 429 para mantener…
Swann integra Bedrock: IA generativa en seguridad IoT
Swann integra Amazon Bedrock para llevar IA generativa a millones de dispositivos IoT,…
Meridian AI: Hojas de cálculo agenticas y financiación de $17M
Meridian AI capta $17M para reimaginar las hojas de cálculo con IA agentica….
Rivalidad IA: Alianza de Gigantes Impulsa Nuevas Startups
La rivalidad IA da un giro estratégico: gigantes como OpenAI y Google se…
Agentic AI: reduce costos operativos en seguros hasta 45%
Descubre cómo la Agentic AI reduce costos operativos en seguros hasta un 45%….
Red Hat unifica despliegue AI en edge táctico
Red Hat unifica el despliegue de IA en el edge táctico para el…
Escándalo IA Google consejos médicos erróneos
El escándalo IA Google consejos médicos erróneos en Gemini expone resúmenes inexactos que…
NVIDIA KVTC: compresión 20x de KV-caches para LLMs
NVIDIA KVTC reduce el KV-cache de LLMs hasta 20x, mejorando rendimiento y escalabilidad….
Ejecutivo OpenAI despedido por modo adulto
El ejecutivo OpenAI despedido por oponerse al modo adulto de ChatGPT genera polémica…
Australia regula IA leyes existentes
Australia regula IA leyes existentes como Privacy Act y Copyright Act, descartando nueva…
Google NAI: Accesibilidad adaptativa con IA agentica
Google NAI integra IA agentica para accesibilidad universal. Descubre cómo Natively Adaptive Interfaces…
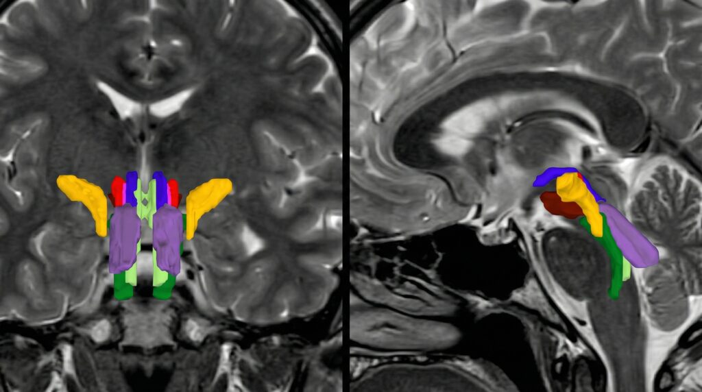
MIT: IA revoluciona análisis tronco encefálico con BSBT
El MIT ha desarrollado BSBT, una IA que segmenta haces de materia blanca…
Lab de IA y Neurotecnología: el cerebro como base para IA
Un lab de IA respaldado por Sequoia reinventa el cerebro como base, no…
CEO Boston Dynamics: Robert Playter se va, ¿qué implica?
El CEO de Boston Dynamics, Robert Playter, deja su cargo tras 30 años….
Cuarto cofundador xAI Tony Wu deja empresa
El cuarto cofundador xAI Tony Wu renuncia tras fusión con SpaceX, sumándose a…
Facebook: Fotos de perfil animadas e IA en posts
Descubre cómo Facebook implementa fotos de perfil animadas y fondos IA para publicaciones….
Amazon Nova: Automatización de Prueba Logística con IA
Descubre cómo Amazon Nova optimiza la automatización de prueba logística en centros de…
Iberdrola optimiza operaciones IT con Amazon Bedrock AgentCore
Descubre cómo Iberdrola optimiza operaciones IT con Amazon Bedrock AgentCore, agilizando IA de…
Google simula conversaciones grupales IA: ¿futuro del trabajo?
Google simula conversaciones grupales dinámicas entre humanos e IA para probar interacciones complejas….
Amazon Nova Sonic: Asistentes de voz en tiempo real
Descubre cómo Amazon Nova Sonic revoluciona los asistentes de voz en tiempo real…
IA amenaza empleos de nivel inicial, FMI alerta
La IA amenaza empleos de nivel inicial según el FMI, que advierte de…
Vega AI: $120M para revolucionar ciberseguridad con IA
Vega AI recauda $120M en Serie B para su plataforma de ciberseguridad con…
Alibaba Zvec: Base de Datos Vectorial para RAG en Edge
Alibaba lanza Zvec, una base de datos vectorial in-process open-source para RAG en…
Empresas tecnológicas expanden inversión IA Golfo
Empresas tecnológicas expanden inversión IA Golfo mediante alianzas estratégicas. Acceso a capital soberano…
Hiperscalers chinos: Su impacto en IA agentiva para PYMES
Los hiperscalers chinos invierten miles de millones en IA agentiva enfocada al comercio….
Singularidad humano-máquina: desafíos gobernanza
La singularidad humano-máquina plantea retos en gobernanza IA, desde predicciones de Kurzweil hasta…
Agentic AI: valor de $450B en marketing pharma y su impacto
La Agentic AI generará $450 mil millones en valor para marketing pharma en…
Primeros signos de burnout en IA
Los primeros signos de burnout en IA emergen entre investigadores de OpenAI y…
Guía para construir pipeline federado privado con LoRA y LLMs
Descubre nuestra guía para construir un pipeline federado privado con LoRA y LLMs….
Microsoft OrbitalBrain: ML distribuido en el espacio
Microsoft propone OrbitalBrain, un sistema innovador para ML distribuido en órbita. Este enfoque…
Perch 2.0: IA para bioacústica resuelve enigmas submarinos
Perch 2.0 de Google Research, IA para bioacústica entrenada con aves, desvela misterios…
